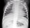
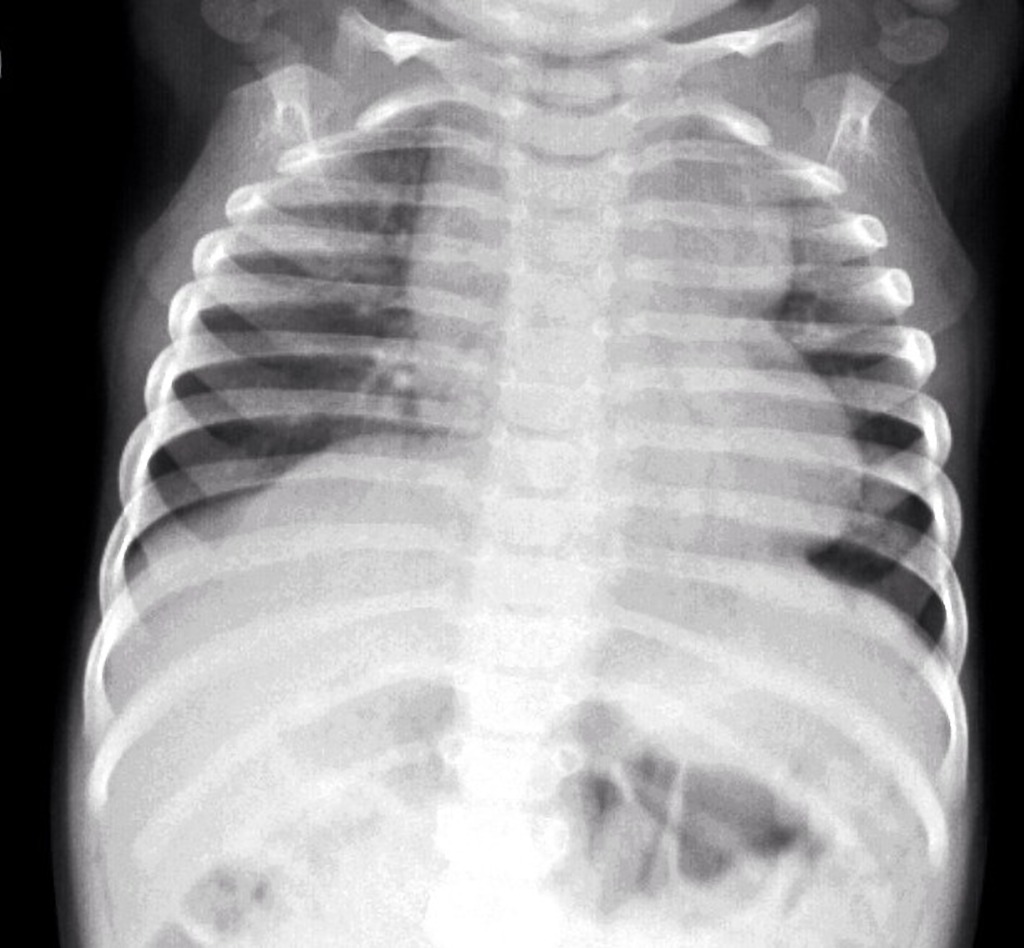
File:Tapvrsnowman.jpeg
Tamaño de esta previsualización: 648 × 600 píxeles. Otra resolución: 1024 × 948 píxeles.
Archivo original (1024 × 948 píxeles; tamaño de archivo: 141 kB; tipo MIME: image/jpeg)
Case courtesy of Dr Aditya Shetty, <a href="https://radiopaedia.org/">Radiopaedia.org</a>. From the case <a href="https://radiopaedia.org/cases/27800">rID: 27800</a>
Historial del archivo
Haz clic sobre una fecha y hora para ver el archivo tal como apareció en ese momento.
| Fecha y hora | Miniatura | Dimensiones | Usuario | Comentario | |
|---|---|---|---|---|---|
| actual | 18:15 25 jun 2017 | 1024 × 948 (141 kB) | Lisayee25 (discusión | contribs.) | Case courtesy of Dr Aditya Shetty, <a href="https://radiopaedia.org/">Radiopaedia.org</a>. From the case <a href="https://radiopaedia.org/cases/27800">rID: 27800</a> |
No puedes sobrescribir este archivo.
Usos del archivo
La siguiente página usa este archivo:
