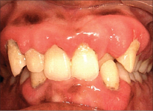
File:Gingival hyperplasia.png
Gingival_hyperplasia.png (512 × 371 píxeles; tamaño de archivo: 477 kB; tipo MIME: image/png)
Pedaballi P, Sundaram R, Ramachandran M. Prevalence of gingival enlargement secondary to calcium channel blockers in patients with cardiovascular diseases. Journal of Indian Society of Periodontology. 2012;16(3):430-435. doi:10.4103/0972-124X.100925.
Historial del archivo
Haz clic sobre una fecha y hora para ver el archivo tal como apareció en ese momento.
| Fecha y hora | Miniatura | Dimensiones | Usuario | Comentario | |
|---|---|---|---|---|---|
| actual | 23:44 7 oct 2017 | 512 × 371 (477 kB) | Perrydinh (discusión | contribs.) | Pedaballi P, Sundaram R, Ramachandran M. Prevalence of gingival enlargement secondary to calcium channel blockers in patients with cardiovascular diseases. Journal of Indian Society of Periodontology. 2012;16(3):430-435. doi:10.4103/0972-124X.100925. |
No puedes sobrescribir este archivo.
Usos del archivo
La siguiente página usa este archivo:

