File:Auscities.png
Tamaño de esta previsualización: 707 × 600 píxeles. Otra resolución: 924 × 784 píxeles.
Archivo original (924 × 784 píxeles; tamaño de archivo: 333 kB; tipo MIME: image/png)
Summary
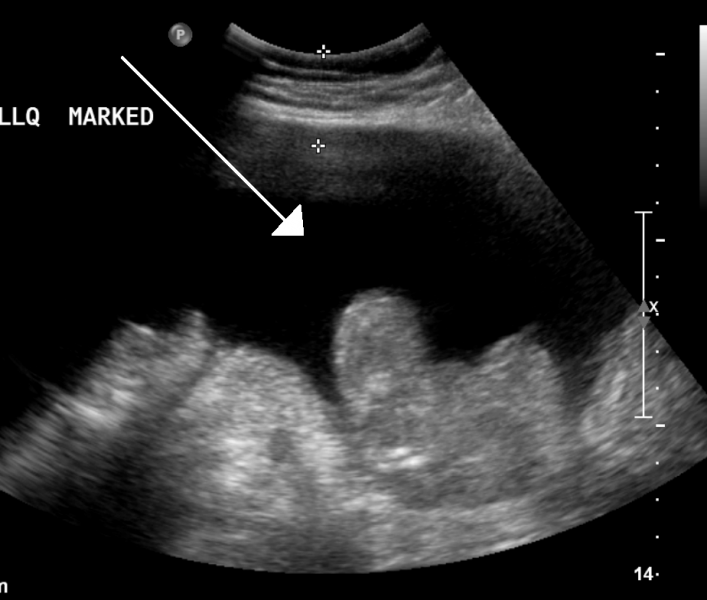
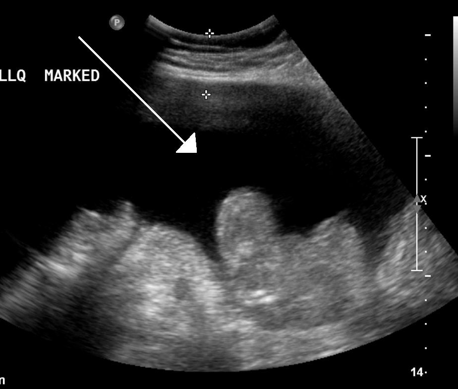
By James Heilman, MD - Own work, CC BY-SA 3.0, https://commons.wikimedia.org/w/index.php?curid=14634410
Historial del archivo
Haz clic sobre una fecha y hora para ver el archivo tal como apareció en ese momento.
| Fecha y hora | Miniatura | Dimensiones | Usuario | Comentario | |
|---|---|---|---|---|---|
| actual | 16:34 4 jun 2020 | 924 × 784 (333 kB) | Rossdonaldson1 (discusión | contribs.) | By James Heilman, MD - Own work, CC BY-SA 3.0, https://commons.wikimedia.org/w/index.php?curid=14634410 |
No puedes sobrescribir este archivo.
Usos del archivo
Las siguientes páginas usan este archivo:
